最寄駅
馬車道駅
1c出口(横浜市役所連絡口) 徒歩3分

住所 神奈川県横浜市中区住吉町6-69 馬車道STビル3F地図

  • 土曜診療
ネット仮予約 24時間受付中
045-319-4040  

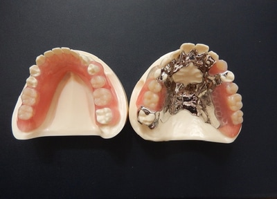
入れ歯・義歯

「浮かない」「落ちない」「噛みしめられる」入れ歯・義歯を作製することを心がけています

横浜馬車道デンタル 入れ歯・義歯

できる限り快適に使っていただける入れ歯・義歯(※)を作製するには、患者さまの声をお聞きすることが重要です。そのため当院は、入れ歯・義歯作りに注力している歯科技工所の歯科技工士が、患者さまに直接対応しています。

お伺いした内容を元に、一緒に治療計画を立ててまいりましょう。

当院が入れ歯・義歯作りで大切にしていることは、「浮かない」「落ちない」「噛みしめられる」です。食べ物の温度を感じながら食事できる金属床義歯(※)や、自然な見た目のノンクラスプ・デンチャー(※)などさまざまな内容をご用意していますので、複数の選択肢の中から納得のいくものをご選択ください。

※自由診療です。料金は料金表を確認してください。

ブリッジ

できる限り削らずに装着できるブリッジをご用意しています

横浜馬車道デンタル ブリッジ

当院は、できる限り削らずに装着できるブリッジ(※)をご用意しています。ブリッジは両隣の歯を削った上につながったかぶせ物を装着しますが、当院の治療方法は削る必要性が低いため患者さまご自身の歯を大切にできます。

専門的な素材を使用いたしますので、ていねいにご説明いたします。中には削る必要があるケースもございますが、その際は事前にきちんとご説明し、ご納得いただいた上でしか進行いたしません。

歯は削るとだんだん弱くなり、虫歯リスクも高まります。将来健康な歯を残すために、できる限り削らない手段を選ばれることをご提案いたします。

※自由診療です。料金は料金表を確認してください。

ホワイトスポット治療

歯をできる限り削らないホワイトスポット治療がございます

横浜馬車道デンタル ホワイトスポット治療

歯をできる限り削らないホワイトスポット治療とは、一般的に白い部分を削ってプラスチックを詰め、セラミックベニア(セラミックの板)を張り付ける治療ですが、当院ではプラズマレーザーとオーラループ(歯を再生させるジェル)で歯を削らず治療します。

ホワイトニング

ライフスタイルに合わせてより良いホワイトニング方法をご案内します

横浜馬車道デンタル ホワイトニング

当院は、歯科医院で施術を行うオフィスホワイトニング、ご自宅などでご自身の手で行っていただくホームホワイトニングに対応しています。

オフィスホワイトニングは濃度が高めの薬剤を使い、さらに光照射によって作用を促進するため1回の施術でも変化を実感しやすい点が特徴です。お仕事などで忙しく施術のたびに通院することが難しい方には、お好きなタイミングで行えるホームホワイトニングをご提案しています。

それぞれのホワイトニング方法について、何回の通院でどのくらいの白さが期待できるのか、図などを用いてご説明いたします。どちらを選ぶべきか迷われている場合は、歯科医師がご希望を伺った上でその方により向いている方法をご案内します。

ていねいなコミュニケーションを取ることを心がけておりますので、ホワイトニングについてわからないことや不安なことなどがございましたら、気兼ねなく何でもご相談ください。

歯周病

歯周治療

横浜馬車道デンタル 歯周病

当院では保険内で行える歯周病治療にも力を入れております。口腔内の細菌を減少させてから、クリーニングと再生ジェルを用いて患者さまに歯周病治療を提供いたします。
*再生ジェルとは、 歯肉組織の再生・歯のコーティング(汚れや着色の沈着を防ぐ)・炎症の抑える作用を促進します。

予防歯科

予防治療

横浜馬車道デンタル 予防歯科

当院で扱うレーザーは特殊なプラズマレーザーにより、プロトンを取り入れ、再石化を促進して虫歯予防することが可能です。

他にもプラズマレーザーを使ってさまざまな治療ができます。

虫歯

虫歯治療

横浜馬車道デンタル 虫歯

当院は健康な歯を残すために、ドリルとプラズマレーザーを組み合わせ、なるべく削る量を抑えて治療を進めます。
プラズマレーザーは痛みがほとんどないため、麻酔の必要がありません。また、虫歯に感染している部分だけに反応して歯を削るので健康な歯質を削らず治療ができます。
これにより、虫歯の再発予防につながります。

つめ物・かぶせ物

なるべく削らず治療します。馬車道駅から徒歩3分とアクセスも良好

横浜馬車道デンタル つめ物・かぶせ物

ネット予約・空き状況確認

2025年12月

1
2
3
4
5
6
7
8
9
10
11
12 13
14
15 16 17
18
19 20
21
22 23 24
25
26 27
28
-
29
-
30
-
31
-

2026年1月

1
-
2
-
3
-
4
-
5 6 7
8
9 10
11
12
13 14
15
16 17
18
19 20 21
22
23 24
25
26 27 28
29
30 31

 :受付中 :お問い合わせ -:受付不可

045-319-4040